Дмитро Тимчук

Всі матеріали Публікації Фото Відео
Перед виборами президента РФ можна чекати на активізацію бойових дій на Донбасі - Тимчук
Перед виборами президента РФ можна чекати на активізацію бойових дій на Донбасі - Тимчук
Україна не повинна орієнтуватися на те, що в Росії економічна криза, що їй стає не до війни, - експерт
На День Незалежності російські агенти планували провокації у чотирьох областях - Тимчук
На День Незалежності російські агенти планували провокації у чотирьох областях - Тимчук
Проросійські сили зіткнулись із протидією з боку українських силовиків
Тимчук розказав, чому «шкільне перемир’я» є безстроковим
Тимчук розказав, чому «шкільне перемир’я» є безстроковим
Координатор групи «Інформаційний спротив» констатував помітне скорочення інтенсивності обстрілів
Дмитро Тимчук: На тлі виборів у Росії Путін може надати підтримку бойовикам «ЛДНР»
Дмитро Тимчук: На тлі виборів у Росії Путін може надати підтримку бойовикам «ЛДНР»
Про виконання «шкільного перемир’я» та подальший розвиток подій на Донбасі
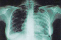
Бойовиків на Донбасі «косить» туберкульоз
Бойовиків на Донбасі «косить» туберкульоз
Захарченка просять сформувати «виїзні бригади» медиків для екстреного обстеження особового складу окупантів на фронті та в тилу
Нардеп Тимчук: Мені сниться один і той же сон. Я вбиваю Путіна
Нардеп Тимчук: Мені сниться один і той же сон. Я вбиваю Путіна
Народний депутат зізнався, що сон про вбивство Путіна він бачить кожні 2-3 місяці
Бойовикам на Донбасі заборонили розголошувати дані про «200-х» і «300-х»
Бойовикам на Донбасі заборонили розголошувати дані про «200-х» і «300-х»
Також рядових бойовиків з числа місцевих жителів зобов'язали провести аналогічну «роз'яснювальну роботу» з родичами і знайомими
В Росію не пропускають автівки з номерними знаками «ДНР»
В Росію не пропускають автівки з номерними знаками «ДНР»
Автомобілі без пояснення причин повертають на територію «ДНР» або пропонують змінити номерні знаки на українські
Тимчук: в окупованому Донбасі бойовиків звільняють через масовий алкоголізм та наркоманію
Тимчук: в окупованому Донбасі бойовиків звільняють через масовий алкоголізм та наркоманію
«Командирів» терористів звільнили, вони будуть притягнені до кримінальної відповідальності
Тимчук заявив про вихід зі Спілки журналістів: Керівництво грає проти інформаційної безпеки України
Тимчук заявив про вихід зі Спілки журналістів: Керівництво грає проти інформаційної безпеки України
Нардепа обурили претензії глави НСЖУ до українських спецслужб і правоохоронців у контексті їх спроб розібратися зі злочинною діяльністю антиукраїнського ресурсу «Страна.ua».
Росія перекинула на Донбас нову групу снайперів та «свіже» озброєння
Росія перекинула на Донбас нову групу снайперів та «свіже» озброєння
Випускники школи снайперів у Ростовській області прибули в Новоазовськ
У «ДНР» на «День шахтаря» чекають на іноземні делегації
У «ДНР» на «День шахтаря» чекають на іноземні делегації
Для близько 100 іноземних громадян заброньовані місця в донецьких готелях
У серпні-вересні війська РФ проведуть навчання поблизу кордону з Україною
У серпні-вересні війська РФ проведуть навчання поблизу кордону з Україною
«Армія» бойовиків проведе такі ж навчання на Донбасі
Ватажки «ДНР» відправляють «правоохоронців» воювати на передову
Ватажки «ДНР» відправляють «правоохоронців» воювати на передову
Через гостру нестачу бойовиків для участі в бойових діях направляють співробітників «правоохоронних органів ДНР»
До Донецька прибули три групи російських снайперів
До Донецька прибули три групи російських снайперів
Снайпери прибули зі своїм транспортом і озброєнням
Співробітників «МВС ДНР» терміново відкликають із відпусток
Співробітників «МВС ДНР» терміново відкликають із відпусток
Так званих правоохоронців «ДНР» не пускають у відпустки
За два місяці на Донбасі бойовики «віджали» понад 100 ринків
За два місяці на Донбасі бойовики «віджали» понад 100 ринків
109 ринків стали власністю ДП «Ринки Донбасу»
На Донбасі активізувалися групи спецназу російського ГРУ
На Донбасі активізувалися групи спецназу російського ГРУ
Командування окупантів «обкатує» «свіжі» ДРГ з військовослужбовців частин і підрозділів спеціального призначення ЗС РФ
Ватажки «ДНР» лякають мирних жителів «українськими диверсантами»
Ватажки «ДНР» лякають мирних жителів «українськими диверсантами»
Бойовики звернулися до жителів Донеччини з попередженням про диверсії, які нібито планують «українські диверсанти»
Командири «ДНР» заборонили бойовикам робити селфі біля військової техніки
Командири «ДНР» заборонили бойовикам робити селфі біля військової техніки
Командування окупантів намагається припинити витік інформації в соцмережі і ЗМІ
 Військовий експерт розповів про новий маневр Кремля на Донбасі
Військовий експерт розповів про новий маневр Кремля на Донбасі
В рамках операції йде пошук місцевих бойовиків, які втратили рідних і близьких
Під Новоазовськом місцевий бойовик застрелив російського офіцера
Під Новоазовськом місцевий бойовик застрелив російського офіцера
За останні два тижні в цій частині було вбито двох офіцерів ЗС РФ
До Донецька прибули російські снайпери
До Донецька прибули російські снайпери
За зовнішніми ознаками, снайпери - якути чи буряти
Російські «агентства» вербують жителів Донбасу на роботу в Сибір
Російські «агентства» вербують жителів Донбасу на роботу в Сибір
На окупованому Донбасі Кремль відкриває «трудові агентства»
Комітет з нацбезпеки вимагає якнайшвидше визначитись із постачальником засобів зв'язку для армії
Комітет з нацбезпеки вимагає якнайшвидше визначитись із постачальником засобів зв'язку для армії
Практично за всіма параметрами, дані за якими були озвучені, турецькі засоби зв'язку перевершили ізраїльські, - зазначив нардеп Тимчук
Нардеп: Запровадження воєнного стану перетворить Україну з жертви агресії на її ініціатора
Нардеп: Запровадження воєнного стану перетворить Україну з жертви агресії на її ініціатора
Якщо Україна введе воєнний стан, у Путіна з’являються юридичні підстави сказати, що Україна сама оголосила Росії війну
Загадка від Турчинова. Чим замінять АТО?
Загадка від Турчинова. Чим замінять АТО?
Що відомо «новий формат оборони» Донбасу
Ватажки «ДНР» звільнять 600 працівників «Донбастеплоенерго» через брак грошей
Ватажки «ДНР» звільнять 600 працівників «Донбастеплоенерго» через брак грошей
Людей почнуть звільняти відзавтра, заявив Тимчук
Нардеп розповів, як агенти «ДНР» виходять на родичів українських політиків
Нардеп розповів, як агенти «ДНР» виходять на родичів українських політиків
Тимчук розповів, що його батькам вже дзвонили з «ДНР»
У «ДНР» через брак ліків може спалахнути холера
У «ДНР» через брак ліків може спалахнути холера
Бойовики на Донбасі екстрено готуються до ліквідації наслідків можливого спалаху холери