Після п'яної бійки житель ПАР чотири дні ходив з ножем в голові. Моторошні фото

Після п'яної бійки житель ПАР чотири дні ходив з ножем в голові. Моторошні фото

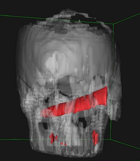
Рентген показав, що ніж зайшов на 10 см в голову, але не зачепив жодної артерії

У Південно-Африканській республіці (ПАР) чоловік чотири дні проходив з лезом ножа в оці, спочатку навіть не помітивши травми.

Удар ножем в око він отримав під час п'яної бійки в барі. Після цього потерпілий як ні в чому не бувало відправився додому спати. Наступного дня чоловікові все ж довелося відвідати медичний заклад. Леза він не помітив, однак голова і очі дуже боліли. Рентген показав, що ніж зайшов на 10 см в голову, але не зачепив жодної артерії. Лікарі навіть вирішили перенести операцію на чотири дні, поки оформлялися необхідні документи.

В результаті лікарі успішно витягли лезо, пацієнт не постраждав. Тепер чоловік вирішив переглянути своє ставлення до бійок з холодною та вогнепальною зброєю.

Коментарі — 0

Авторизуйтесь , щоб додавати коментарі
Іде завантаження...
Показати більше коментарів