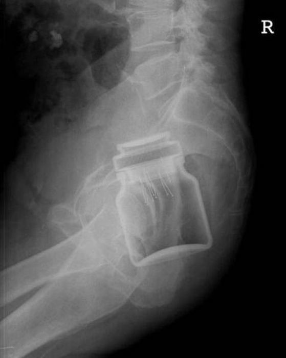
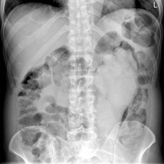
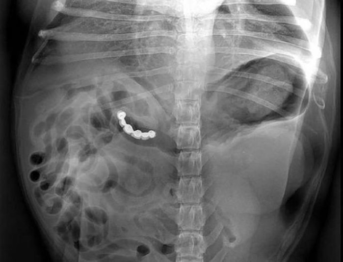
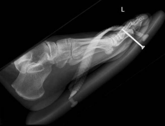
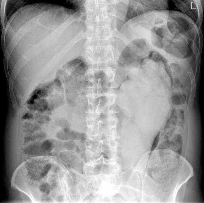
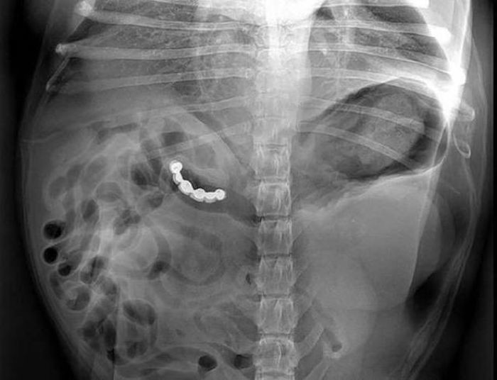
Предметы, которые не очень хочется видеть внутри себя

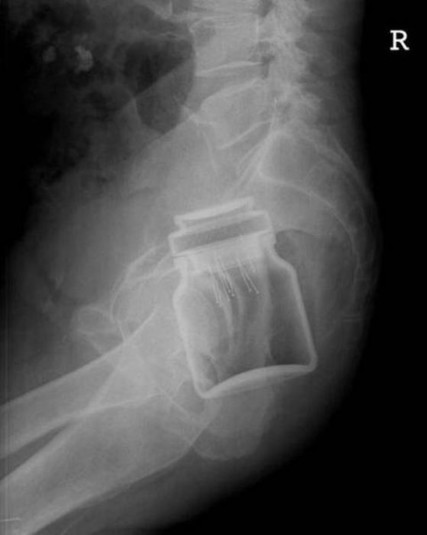
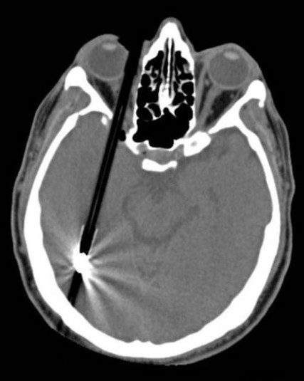
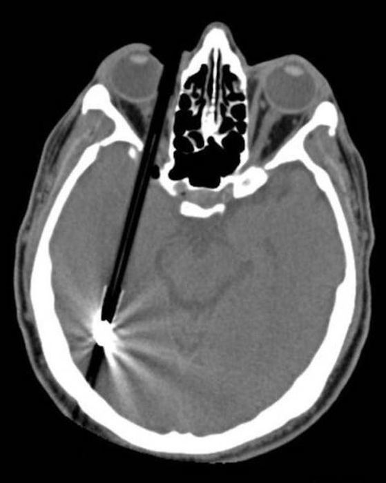
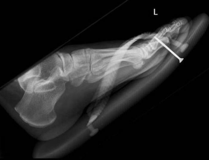
Под рентгеновскими лучами порой видны не только внутренние органы и кости, но и инородные тела, попавшие в организм

Истории попадания этих предметов в организм могут быть самыми невероятными и запутанными, но больше всего медиков интересует процесс их извлечения, впрочем, в этом заинтересованы и сами пациенты, допустившие нечто подобное со своим телом. 


Коментарі — 0

Авторизуйтесь , щоб додавати коментарі
Іде завантаження...
Показати більше коментарів