После пьяной драки житель ЮАР четыре дня ходил с ножом в голове

После пьяной драки житель ЮАР четыре дня ходил с ножом в голове

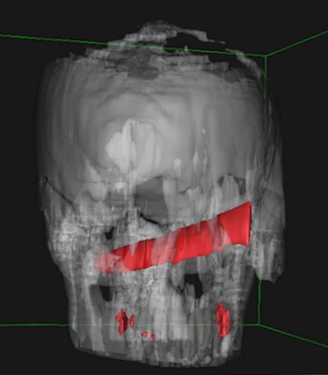
Рентген показал, что нож зашел на 10 см в голову, но не задел ни одной артерии

В Южно-Африканской республике (ЮАР) мужчина четыре дня проходил с лезвием ножа в глазу, поначалу не заметив травмы.

Удар ножом в глаз он получил во время пьяной драки в баре. После этого пострадавший как ни в чем не бывало отправился домой спать. На следующий день мужчине все же пришлось посетить медучреждение. Лезвия он не заметил, однако голова и глаз очень болели. Рентген показал, что нож зашел на 10 см в голову, но не задел ни одной артерии. Врачи даже решили перенести операцию на четыре дня, пока оформлялись необходимые документы.

В результате врачи успешно извлекли лезвие, пациент не пострадал. Теперь мужчина решил пересмотреть свое отношение к дракам с холодным и огнестрельным оружием.

Коментарі — 0

Авторизуйтесь , щоб додавати коментарі
Іде завантаження...
Показати більше коментарів