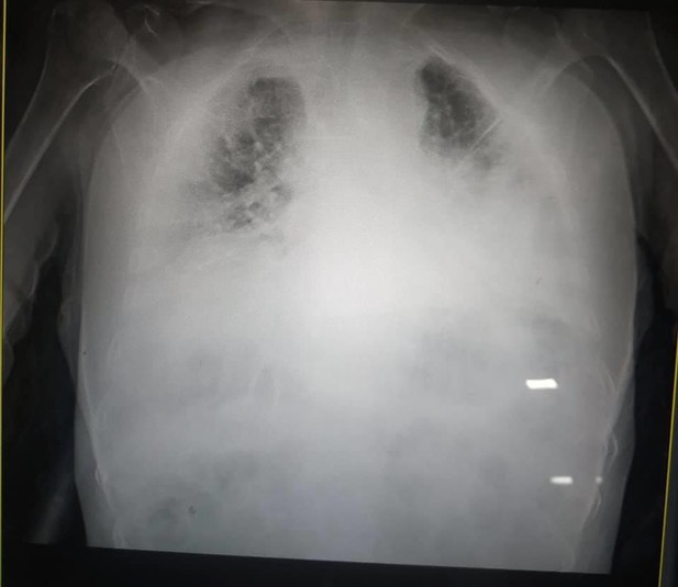
Львівські лікарі показали, як виглядають легені тяжкохворих на Сovid-19

Львівські лікарі показали, як виглядають легені тяжкохворих на Сovid-19

Коронавірус сильно «б’є» по легенях

Фото ілюстративне

«Це одні з найстрашніших легень, які я бачила в житті», – сказала очільниця реанімації

Львівські лікарі показали фото, як виглядають легені у пацієнтів, які мають тяжкий перебіг коронавірусу.

Відповідні фото на своїй сторінці у Facebook оприлюднила журналістка Ірина Заславець.

«Це одні з найстрашніших легень, які я бачила в житті», – сказала мені щойно очільниця реанімації клінічної лікарні швидкої медичної допомоги Львова», – розповіла журналістка.

Заславець додала, що до вищевказаного медзакладу у Львові привезли 18 хворих на коронавірус пацієнтів із Винників. Семеро із них знаходяться у критичному стані у реанімації.

Раніше лікарі назвали ознаки, які вказують на розвиток прихованої пневмонії.

Коментарі — 0

Авторизуйтесь , щоб додавати коментарі
Іде завантаження...
Показати більше коментарів