В американця виріс зуб у носі: йому зробили операцію (фото)

В американця виріс зуб у носі: йому зробили операцію (фото)

У Нью-Йорку в чоловіка медики виявили зуб у носі

Фото: Mail Online

Чоловікові зробили успішну операцію і видалили зуб

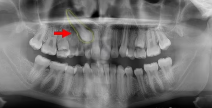
У Нью-Йорку в 38-річного чоловіка медики виявили справжній зуб у носі. Стаття про це з'явилася в науковому журналі The New England Journal of Medicine, пише Mail Online.

Чоловік скаржився, що кілька років має проблеми з диханням через праву ніздрю. Провівши риноскопію за допомогою камери та ліхтарика, лікарі виявили в носі «тверду безболісну білу масу». З'ясувалося, що це 14-міліметровий ектопічний зуб.

Чоловікові зробили успішну операцію і видалили зуб. Через три місяці проблеми з диханням припинилися.

Хоча ектопічні зуби зустрічаються частіше, ніж інші ектопічні частини тіла, у носі вони з'являються вкрай рідко.

За словами медиків, інших проблем зі здоров'ям або аномалій у пацієнта не виявили.

Нагадаємо, в Ізраїлі підліток помер від постковідного синдрому.

У жовтні ВООЗ офіційно дала визначення постковідному синдрому (перелік симптомів)

Раніше медики з’ясували, в кого з дітей найчастіше розвивається постковідний синдром.

Коментарі — 0

Авторизуйтесь , щоб додавати коментарі
Іде завантаження...
Показати більше коментарів