Хірурги видалили найбільший у світі камінь у нирках

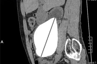
Вага конкременту склала 800 грамів, довжина – 13,37 сантиметра, а ширина – 10,55 сантиметра
фото: Daily Mail

Попри значні розміри, за словами лікаря, камінь не заважав роботі внутрішніх органів

Хірурги видалили з нирки мешканця Шрі-Ланки камінь вагою 800 грамів та завдовжки 13,37 сантиметра. Це найбільший нирковий конкремент, який колись фіксували медики, повідомляє Daily Mail.

Колишній військовослужбовець, 62-річний Каністуса Кунхе, переніс операцію в армійському госпіталі в місті Коломбо 1 червня. Хірург Кугадас Сутаршан, який проводив операцію, зазначив, що камінь був більший за нирку пацієнта – вага конкременту склала 800 грамів, довжина – 13,37 сантиметра, а ширина – 10,55 сантиметра. Попри значні розміри, за словами лікаря, камінь не заважав роботі внутрішніх органів.

Насамперед найбільшим в історії вважався конкремент, виявлений у нирці жителя Пакистану у 2008 році. Вага каменю складала 616 грамів.

Нагадаємо, акторка Шеннен Догерті протягом восьми років веде боротьбу з раком грудей. Нещодавно зірка серіалів «Беверлі Хіллз, 90210» та «Всі жінки відьми» розповіла, що онкологія не відступає і метастази поширилися на інші органи. У січні 2023 року лікарі виявили метастази в головному мозку. 52-річна артистка пройшла радіотерапію та перенесла важку операцію.

До слова, 45-річний колишній танцюрист Кевін Федерлайн, другий чоловік співачки Брітні Спірс, стверджує, що артистка почала знову вживати наркотичні речовини.

Федерлайн, з яким співачка розлучилась 2007 року, публічно висловився через нестабільний фізичний та ментальний стан Брітні. Кевін переживає, що залежність від наркотиків може спричинити сумні наслідки. Спірс може повторити долю британської співачки Емі Вайнгауз, яка померла 2011 року. Також Кевін припустив, яку саме речовину приймає Брітні.

Коментарі — 0

Авторизуйтесь , щоб додавати коментарі
Іде завантаження...
Показати більше коментарів